Visit our Facebook
We speak Spanish, French and Hebrew
1500 East Hillsboro Boulevard
Suite 101
(954) 427-5700
Menu
Home
Patient Information
Welcome
First Visit
Scheduling
Financial Policy
Insurance
New Patient Forms
Patient Consent Forms
Frequently Asked Questions
Surgical Instructions
Services
Laser Gum Surgery – LANAP
Bite Adjustment
Guided Bone & Tissue Regeneration
Gingivectomy
Dental Implants
Bone Grafting
Bone Grafting Overview
The Importance of Teeth for Jaw Bone Health
Jawbone Loss and Deterioration
About Bone Grafting
Ridge Augmentation
Sinus Augmentation
Extraction and Socket Preservation
Pinhole Graft
Frenectomy
Gum Grafting
Crown Lengthening
Cosmetic Periodontal Surgery
Orthodontics and Periodontics
Scaling and Root Planing
Prophylaxis (Teeth Cleaning)
Oral Cancer Exam
The Wand
Microscope
Digital X-Rays
3D Technology
Periodontal Disease
About Periodontal Disease
When to See a Periodontist?
Oral Hygiene
Restorative Dentistry
The Mouth-Body Connection
The Patient’s Role
Antibiotic Therapy
Women and Periodontal Health
About Us
Dr. Schetritt
Dr. DeTure
Our Staff
Gallery
Blog
Contact Us
Close
Call Us
(954) 427-5700
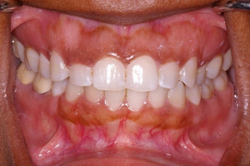
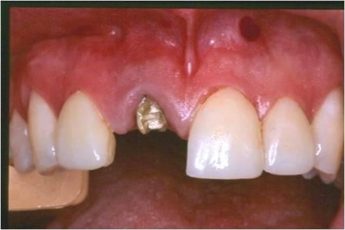
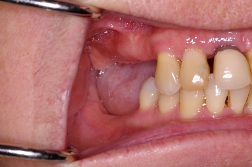
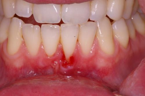
Before and After Dental Photos
Crown Lengthening
Connective Tissue Graft
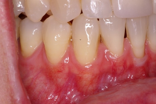
Gingival Grafts on the Lower Anterior
Smile Alignment and Crown Lengthening
Sinus Lift
Franectomy
Grafts
Implants
LANAP
Lateral Sliding Flap
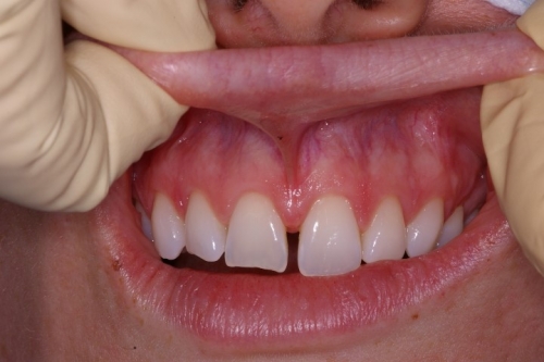
Lip Lowering
Ortho with CL
Ridge Augmentation in the Anterior
Ridge - Posterior
Wilcko
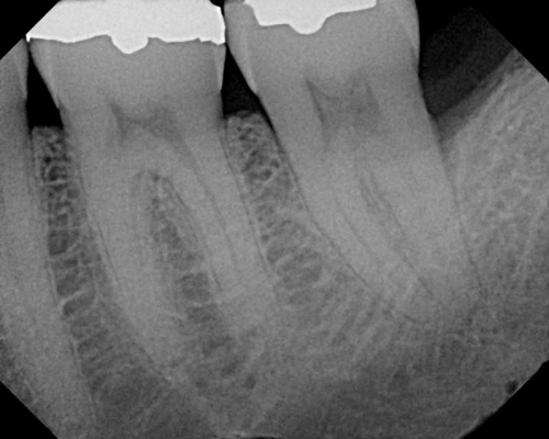
LANAP X-Rays
Pinhole Graft
View Our Online Gallery
Contact Us
Read Our Reviews
1500 East Hillsboro Boulevard, Suite 101 Deerfield Beach, FL. 33441
Phone: (954) 427-5700 Fax: (954) 427-5990
Email: info@northbrowardperio.com
Monday - Thursday: 8:00 AM – 4:00 PM
chevron-down
phone
picture
users
phone
map-marker
cross
menu
linkedin
facebook
pinterest
youtube
rss
twitter
instagram
facebook-blank
rss-blank
linkedin-blank
pinterest
youtube
twitter
instagram